别名:HIT-17应用:WB,IHC
反应种属:Human, Mouse
规格:50μl/100μl
| Description |
|---|
| Hint2 (histidine triad nucleotide binding protein 2), also known as HIT-17, is a 163 amino acid secreted protein that contains one HIT domain, a histidine triad that has catalytic activity toward the å-phosphate of ribonucleotides. Via its HIT domain, Hint2 is thought to function as a hydrolase that is encoded by a gene which maps to chromosome 9. Chromosome 9 contains 145 million base pairs and comprises 4% of the human genome, encoding nearly 900 genes. Hereditary hemorrhagic telangiectasia and Familial dysautonomia are both associated with chromosome 9. Notably, chromosome 9 encompasses the largest interferon family gene cluster. |
| Specification | |
|---|---|
| Aliases | HIT-17 |
| Swissprot | Q9BX68 |
| WB Predicted band size | 17 kDa |
| Host/Isotype | Rabbit IgG |
| Storage | Store at 4°C short term. Aliquot and store at -20°C long term. Avoid freeze/thaw cycles. |
| Species Reactivity | Human, Mouse |
| Immunogen | Fusion protein of human HINT2 |
| Formulation | pH7.4 PBS, 0.05% NaN3, 40% Glycerol |
| Application | |
|---|---|
| WB | 1/500-1/2000 |
| IHC | 1/50-1/200 |
| ELISA | 1/2000-1/5000 |
![]() |
Gel: 12%SDS-PAGE, Lysate: 40 μg, Lane 1-2: Mouse heart tissue, human hepatocellular carcinoma tissue, Primary antibody: P07339(HINT2 Antibody) at dilution 1/300, Secondary antibody: Goat anti rabbit IgG at 1/8000 dilution, Exposure time: 20 seconds |
![]() |
The image is immunohistochemistry of paraffin-embedded Human breast cancer tissue using P07339(HINT2 Antibody) at dilution 1/50. (Original magnification: ×200) |
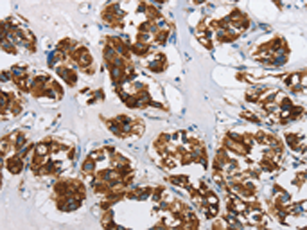
![]() |
The image is immunohistochemistry of paraffin-embedded Human thyroid cancer tissue using P07339(HINT2 Antibody) at dilution 1/50. (Original magnification: ×200) |
本公司的所有产品仅用于科学研究或者工业应用等非医疗目的,不可用于人类或动物的临床诊断或治疗,非药用,非食用。
暂无评论
本公司的所有产品仅用于科学研究或者工业应用等非医疗目的,不可用于人类或动物的临床诊断或治疗,非药用,非食用。
中文



发表回复