别名:KKLF应用:IHC
反应种属:Human, Mouse
规格:50μl/100μl
| Description |
|---|
| Krüppel-like factor 15 is a protein that in humans is encoded by the KLF15 gene in the Krüppel-like factorfamily. KLF15, a kidney-enriched Krüppel-like factor, is a transcriptonal activator that binds the CLCNKA promoter. KLF15, which is a nuclear protein, is expressed primarily in liver, heart, skeletal muscle and kidney tissues but is not detected in lymphoid tissues or bone marrow. It is an important regulator of GLUT4 in both adipose and muscle tissues. |
| Specification | |
|---|---|
| Aliases | KKLF |
| Swissprot | Q9UIH9 |
| Host/Isotype | Rabbit IgG |
| Storage | Store at 4°C short term. Aliquot and store at -20°C long term. Avoid freeze/thaw cycles. |
| Species Reactivity | Human, Mouse |
| Immunogen | Fusion protein of human KLF15 |
| Formulation | pH7.4 PBS, 0.05% NaN3, 40% Glycerol |
| Application | |
|---|---|
| IHC | 1/25-1/100 |
| ELISA | 1/2000-1/5000 |
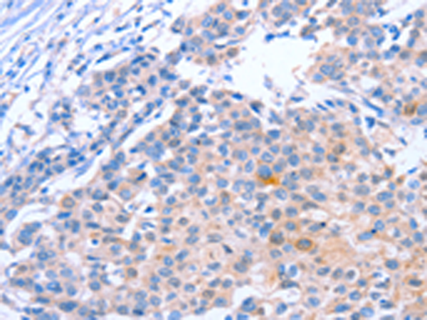
![]() |
The image is immunohistochemistry of paraffin-embedded Human liver cancer tissue using P07406(KLF15 Antibody) at dilution 1/30. (Original magnification: ×200) |
![]() |
The image is immunohistochemistry of paraffin-embedded Human breast cancer tissue using P07406(KLF15 Antibody) at dilution 1/30. (Original magnification: ×200) |
本公司的所有产品仅用于科学研究或者工业应用等非医疗目的,不可用于人类或动物的临床诊断或治疗,非药用,非食用。
暂无评论
本公司的所有产品仅用于科学研究或者工业应用等非医疗目的,不可用于人类或动物的临床诊断或治疗,非药用,非食用。
中文


发表回复