别名:UKLF应用:IHC
反应种属:Human
规格:50μl/100μl
| Description |
|---|
| The protein encoded by this gene is a member of the Kruppel-like transcriptional regulator family. Members in this family regulate cell proliferation, differentiation and survival and contain three C2H2 zinc fingers at the C-terminus that mediate binding to GC-rich sites. This protein may contribute to the progression of type 2 diabetes by inhibiting insulin expression and secretion in pancreatic beta-cells and by deregulating adipocytokine secretion in adipocytes. A pseudogene of this gene is located on the long arm of chromosome 3. Alternative splicing results in multiple transcript variants. |
| Specification | |
|---|---|
| Aliases | UKLF |
| Swissprot | O75840 |
| Host/Isotype | Rabbit IgG |
| Storage | Store at 4°C short term. Aliquot and store at -20°C long term. Avoid freeze/thaw cycles. |
| Species Reactivity | Human |
| Immunogen | Fusion protein of human KLF7 |
| Formulation | pH7.4 PBS, 0.05% NaN3, 40% Glycerol |
| Application | |
|---|---|
| IHC | 1/50-1/200 |
| ELISA | 1/1000-1/5000 |
![]() |
The image is immunohistochemistry of paraffin-embedded Human thyroid cancer tissue using P07404(KLF7 Antibody) at dilution 1/40. (Original magnification: ×200) |
![]() |
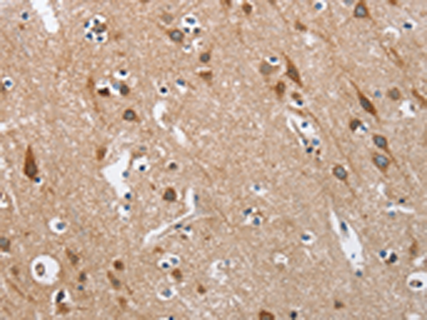
The image is immunohistochemistry of paraffin-embedded Human brain tissue using P07404(KLF7 Antibody) at dilution 1/40. (Original magnification: ×200) |
本公司的所有产品仅用于科学研究或者工业应用等非医疗目的,不可用于人类或动物的临床诊断或治疗,非药用,非食用。
暂无评论
本公司的所有产品仅用于科学研究或者工业应用等非医疗目的,不可用于人类或动物的临床诊断或治疗,非药用,非食用。
中文


发表回复