别名:RIAM; INAG1; PREL1; RARP1应用:IHC,FCM
反应种属:Human
规格:50μl/100μl
| Specification | |
|---|---|
| Aliases | RIAM; INAG1; PREL1; RARP1 |
| Entrez GeneID | 54518 |
| Swissprot | Q7Z5R6 |
| clone | 7E7D12 |
| WB Predicted band size | 73.2kDa |
| Host/Isotype | Mouse IgG1 |
| Storage | Store at 4°C short term. Aliquot and store at -20°C long term. Avoid freeze/thaw cycles. |
| Species Reactivity | Human |
| Immunogen | Purified recombinant fragment of human APBB1IP (AA: 1-151) expressed in E. Coli. |
| Formulation | Purified antibody in PBS with 0.05% sodium azide. |
| Application | |
|---|---|
| IHC | 1/200 – 1/1000 |
| FCM | 1/200 – 1/400 |
| ELISA | 1/10000 |
![]() |
Black line: Control Antigen (100 ng); Purple line: Antigen(10ng); Blue line: Antigen (50 ng); Red line: Antigen (100 ng); |
![]() |
Flow cytometric analysis of Hela cells using APBB1IP mouse mAb (green) and negative control (red). |
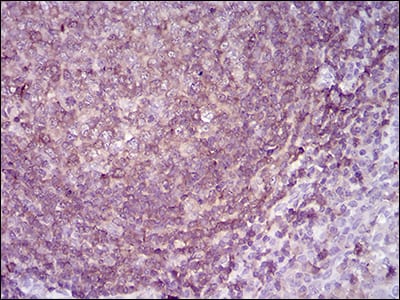
![]() |
Immunohistochemical analysis of paraffin-embedded human lymph tissues using APBB1IP mouse mAb with DAB staining. |
本公司的所有产品仅用于科学研究或者工业应用等非医疗目的,不可用于人类或动物的临床诊断或治疗,非药用,非食用。
暂无评论
本公司的所有产品仅用于科学研究或者工业应用等非医疗目的,不可用于人类或动物的临床诊断或治疗,非药用,非食用。
中文



发表回复